SPİNAL TÜMÖRLER
Spinal tümörlerin tanısı zordur. Maalesef bazı olgularda geç tanı konulmaktadır. İlk semptom genellikle ağrıdır. Omurga ekseni üzerinde ağrılı olgulara yaklaşım dikkatli yapılmalı, ayırıcı tanıda ağrı özelliği iyi sorgulanmalıdır.
Spinal tümörler spinal kanaldaki lokalizasyonuna göre üçe ayrılır;
- Ekstradural tümörler (%55) dura dışında, omurga veya epidural dokulardan köken alır. Metastalik tümörler çoğunluğunu oluşturur.
- İntradural-ekstramedüller tümörler (%40) omurilik zarından veya sinir köklerinden köken alır.
- İntramedüller tümörler (%5) omurilikten köken alır.
Metastatik Spinal Tümörlerin değerlendirilmesi: Pratikte metastatik spinal kitleler sık görülür. Hangisi operasyondan yarar görecek hangisi görmeyecek sorusunu cevaplamak için Tokuhashi Prognoz Skorlaması kullanılmaktadır.
Metastatik Spinal Tümörlerde Tokuhashi Prognoz Skorlaması
Genel özellikler
En sık belirti ağrıdır. Klasik olarak ağrı gece daha belirgindir. Bazı hastalarda hem ağrı hem de mekanik instabilite veya omurga yanlarındaki adale spazmına bağlı deformite olabilir.
Nörolojik defisit nadiren ilk semptomdur. Ancak tanı esnasında olguların %70’inde kuvvetsizlik vardır. Olguların %20’sinde kuvvetsizlik, gaita ve idrar disfonksiyonu gibi omurilik bası bulgularını gösterirler.
Fizik muayene ve görüntüleme
Detaylı nörolojik muayene (duyu kaybı, adale gücü kaybı, bölgesel hassasiyet) lezyon seviyesi hakkında bilgi verir.
Düz grafide; tümör tutulumuna sekonder pedikülün destrüksiyonu, omurga cisminde yükseklik kaybı veya patolojik kırıklar görülebilir. Düz grafinin dezavantajı küçük tümörlerin tespitinde duyarlılığın düşük olmasıdır. Kemik destrüksiyonunun radyolojik delilleri trabeküler kemiğin %30-50’si kaybolana kadar görülmez.
BT; düz grafiden daha güvenilir ve duyarlıdır. Kemik destrüksiyonunun derecesi daha doğru tespit edilir. Cerrahi stabilizasyon veya rekonstrüksiyon için preoperatif planlamada önemli rol oynar.
Kemik sintigrafisi; tümör-enfeksiyon ayırımına yardım eder.
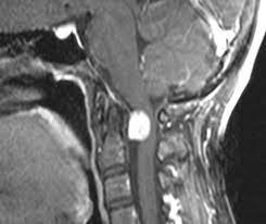
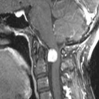
MR; omurganın primer tümörlerinin tanı ve değerlendirilmesinde tercih edilecek bir yöntemdir. Avantajları; yumuşak doku görüntülemesinin iyi olması, multiplanar görüntü elde edilebilmesi, nöral bası veya infiltrasyonun değerlendirilebilmesidir.

Tokuhashi Skorlamasının Değerlendirilmesi
Bu skorlamada prognozu olumlu etkileyecek faktörler yüksek puan alırlar. En yüksek puan 15’dir ve nörolojik defisiti olmayan, genel durumu iyi, iç organ metastazları olmayan ve tek vertebrada metastazı olan bir hastaya verilir. En düşük puan ise paraplejik, Karnofsky skoru düşük, birden fazla vertebrada ve iç organlarda metastazı olan bir hastadır.
Tokuhashi ve ark.’ları 12-15 p: Beklenen yaşam 12 aydan fazla; Radikal cerrahi
9-11 p: Beklenen yaşam 6 aydan fazla; Klinik yargı
0-8 p: Beklenen yaşam 6 aydan az; Palyatif tedavi önermektedir.
Cerrahi adayları
• Benign tümörlerde cerrahi seçilmeli
• Radyoterapiye dirençli tümörlerde cerrahi seçilmeli
• Spinal kanal içine çok fazla invazyon gösteren tümörlerde kısa sürede cerrahi girişim yapılmalı
Cerrahi adayı değiller
• Radyoterapiye duyarlı tümörler
• 24 saatten uzun süredir paraplejik olanlar
• Genel durumu kötü hastalar
• Multipl ve farklı düzeylerde metastazı olan hastalar
• Medulla basısı yapmamış akciğer kanser metastazları




